Tooth Enamel Erosion: What You Should Know
The outer layer of your teeth consists of enamel, a substance that protects against physical and chemical damage. Tooth enamel is very tough. In fact, it’s the hardest tissue in the human body — even tougher than bone.
Enamel is the first defense for your teeth against the many different chemicals they’re exposed to from food and bodily fluids. As a result, it can be prone to wear and tear. This is referred to as enamel erosion.
Enamel erosion can cause symptoms like tooth stains and sensitivity. Tooth enamel can’t be regrown. But you can prevent erosion from getting worse with dental treatment and by taking care of your teeth.
Enamel erosion symptoms
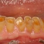
Symptoms of tooth enamel erosion can vary. They often include:
- increased sensitivity to taste, textures, and temperature
- cracks and chips
- discoloration
- indentations known as cups on the surface of your teeth
You may have significant enamel erosion if you experience pain, high sensitivity when exposed to cold, hot, acidic, and spicy food and drink, and discoloration in your teeth.
Over time, enamel erosion can lead to complications like:
- yellow, stained teeth
- overly sensitive teeth
- rough edges on your teeth
- shiny spots on your teeth
- increased tooth decay
- gradual wearing of enamel, leading to clear, slightly translucent teeth
- fractured teethOne of the main causes of enamel erosion are acids found in the foods and liquids you consume. Saliva constantly neutralizes acid in your mouth to protect your teeth. But if you eat too much acidic food and drink and don’t properly brush your teeth, the outer layer of enamel will degrade over time.
- Causes of enamel erosion
- Enamel erosion can be caused by what you eat, particularly:
- sugary foods, such as ice cream, syrups, and caramel
- starchy foods, such as white breads
- acidic foods, such as apples, citrus fruits, berries, and rhubarb
- fruit drinks and juices
- sodas, which typically contain damaging citric acid and phosphoric acid in addition to sugar
- excess vitamin C, found in citrus fruits
- Other causes of enamel erosion include:
- teeth grinding
- chronic acid reflux, also known as gastroesophageal reflux disease (GERD)
- low salivary flow, also known as xerostomia, which is a symptom of conditions such as diabetes
- regular use of certain medications, such as antihistamines and aspirin
- eating disorders like bulimia, which disrupts the digestive system and exposes teeth to stomach acid
Can tooth enamel grow back?
Enamel is very tough. However, it doesn’t have any living cells and is unable to repair itself if it undergoes physical or chemical damage. This means that enamel erosion isn’t reversible, and the enamel won’t grow back.
However, enamel erosion takes a long time. So even if you already have some enamel erosion, you can prevent it from becoming worse.
Treating and preventing enamel erosion
If you’ve experienced significant enamel erosion, a dentist can help you with a few techniques. The first is called tooth bonding. Bonding is a procedure in which a tooth-colored material known as resin is applied to stained or damaged teeth. The resin can cover up discolorations and protect your tooth. You may want to consider tooth bonding if enamel erosion has caused discolorations on your front teeth.
In more severe cases, your dentist may add a veneer or crown to your damaged teeth to prevent further decay.
The best way to treat enamel erosion is to prevent it from happening in the first place. Even if you already have some enamel erosion, you can still prevent it from becoming worse by looking after your teeth with good oral hygiene.
For more information talk to one of our Heath Care Professionals, call us or book online!





Leave a Reply